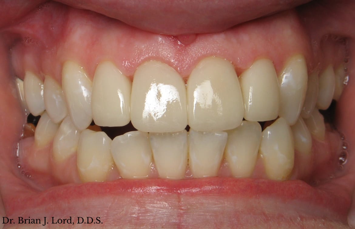
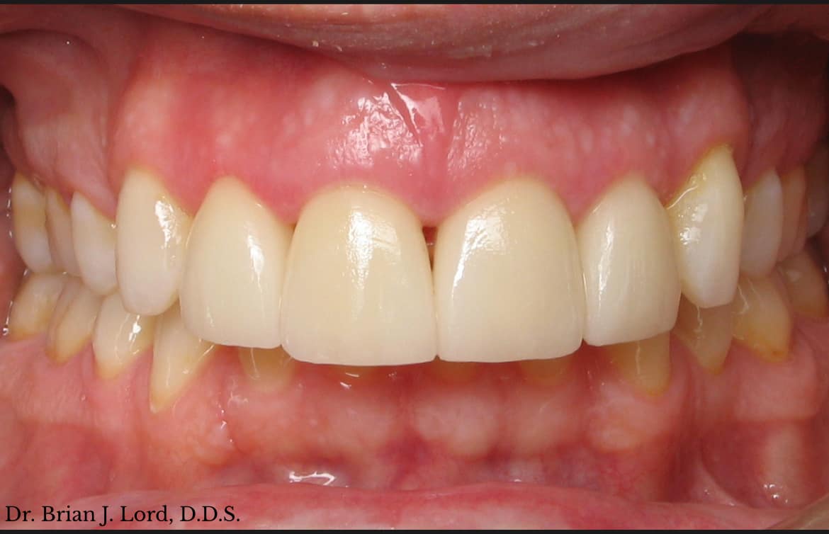
SMILE PORTFOLIO

A radiant smile can boost confidence and self esteem. According to the Academy of Cosmetic Dentistry, 99.7% of adults believe a smile is an important social asset. What are you waiting for? Talk to us today about how to make your smile the best it can be!

What do we offer to get you that smile?

  • Tooth-Colored Fillings
  • Tooth Whitening
  • Crown Lengthening
  • Enamel Shaping
  • Veneers

Take a look and see what others are now smiling about….